Bệnh viêm nha chu là một bệnh rất phổ biến của vùng răng miệng, hay gặp ở lứa tuổi trung niên, người lớn tuổi. Đây là một trong những nguyên nhân thường gặp của tình trạng mất răng ở người lớn. Bệnh diễn tiến thầm lặng nên rất dễ bị bỏ qua, thường được phát hiện rất trễ khi bệnh đã nặng. Vậy nguyên nhân dẫn đến bệnh và dấu hiệu nhận biết bệnh nha chu là gì? Để tìm hiểu rõ hơn mời bạn đọc xem ngay bài viết dưới đây của Nha khoa Eureka Bình Đông!

Contents
1. Bệnh viêm nha chu là bệnh gì?
Bệnh nha chu (hay còn gọi là Periodontitis) là một bệnh lý viêm răng miệng mãn tính, gây tổn thương mô mềm và dẫn đến phá hủy xương nâng đỡ răng. Bệnh thường biểu hiện như tình trạng viêm nướu ngày càng trầm trọng hơn và nếu không được điều trị, răng sẽ bị lung lay và dẫn đến mất răng.
Nguyên nhân của bệnh thường liên quan đến vệ sinh răng miệng kém. Mảng bám, một màng dính chứa vi khuẩn, thường bắt đầu bám vào răng. Nếu không loại bỏ, mảng bám này sẽ hình thành cao răng và gây viêm nướu. Viêm nướu có thể chữa trị hoàn toàn khi được điều trị đúng cách và chăm sóc răng miệng tại nhà. Tuy nhiên, nếu không điều trị, viêm nướu có thể phát triển thành viêm nha chu. Các túi nha chu sâu hơn chứa đầy mảng bám, cao răng và vi khuẩn, gây mất mô nướu và xương xung quanh răng. Cuối cùng, người bệnh có thể mất một hoặc nhiều răng.
>> Xem thêm: Những nguyên nhân gây ra viêm lợi và cách phòng ngừa hiệu quả
2. Nguyên nhân mắc phải bệnh viêm nha chu là gì?
Trong hầu hết các trường hợp, viêm nha chu bắt đầu từ mảng bám. Mảng bám là một màng dính được tạo thành từ vi khuẩn. Nếu không được điều trị, bệnh tiến triển theo thời gian thành viêm nha chu:
- Mảng bám hình thành trên răng khi tinh bột và đường trong thức ăn tương tác với vi khuẩn thường thấy trong miệng
- Mảng bám khó loại bỏ hơn vì chúng có thể cứng lại dưới đường viền nướu hình thành cao răng. Mảng bám không thể được loại bỏ bằng cách đánh răng và dùng chỉ nha khoa mà bạn phải đi cạo vôi răng. Mảng bám và cao răng chứa nhiều vi khuẩn, và khi chúng ở trên răng của bạn trong thời gian dài thì càng gây nhiều tổn thương.
- Mảng bám có thể gây viêm nướu, dạng nhẹ nhất của bệnh nướu răng. Tình trạng sưng và kích ứng mô nướu xung quanh chân răng được gọi là viêm nướu. Trước khi bạn bị tiêu xương, mảng bám có thể được khắc phục bằng cách chăm sóc răng miệng tốt tại nhà và đến bác sĩ răng hàm mặt sớm.
- Viêm nha chu có thể xảy ra khi sưng và kích ứng nướu. Điều này gây ra các túi sâu hình thành giữa nướu và răng của bạn. Túi này chứa đầy mảng bám, cao răng, vi khuẩn và trở nên sâu hơn theo thời gian. Nếu không được điều trị, nhiễm trùng tiến triển sâu hơn sẽ gây mất mô và xương. Cuối cùng, bạn có thể mất răng. Tình trạng viêm liên tục có thể gây căng thẳng cho hệ thống miễn dịch, gây ra các vấn đề sức khỏe khác.

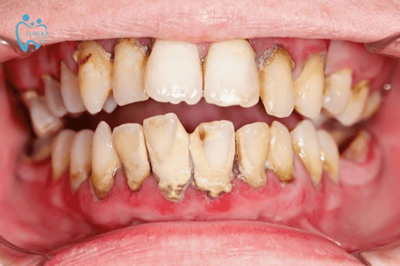
3. Các dấu hiệu nhận biết
Nướu khỏe mạnh sẽ chắc chắn và ôm sát quanh răng. Màu sắc của nướu khỏe mạnh có màu hồng nhạt, mức độ thay đổi về màu sắc tuỳ theo màu da, chủng tộc. Tuy nhiên, nướu khỏe mạnh rất săn chắc và không dễ chảy máu.
Bệnh nha chu có thể tiến triển từ nhẹ sang nghiêm trọng. Giai đoạn khởi phát của bệnh nha chu là viêm nướu. Dấu hiệu chính của giai đoạn này là nướu tấy đỏ, sưng viêm và cảm giác khó chịu không rõ rệt. Trong suốt giai đoạn này, nướu có thể bị chảy máu khi đánh răng hoặc làm sạch kẽ răng.
Khi bệnh tiến triển nghiêm trọng và ảnh hưởng trực tiếp đến xương ổ răng, túi mủ hình thành và tạo điều kiện cho vi khuẩn sinh sôi mạnh mẽ hơn. Vôi răng hình thành trong các túi mủ này và không dễ dàng loại bỏ bằng các biện pháp vệ sinh răng miệng thông thường. Bệnh nha chu tiến triển cần được vệ sinh nha khoa vào sâu trong các đường nướu.
Sau đây là một số dấu hiệu để bạn nhận biết bệnh nha chu từ sớm:
- Nướu bị sưng đỏ, hay chảy máu, thường gặp nhất là khi đánh răng, sử dụng chỉ nha khoa
- Hơi thở có mùi hôi.
- Dùng tay ấn vào nướu thấy có mủ chảy ra.
- Khi nhai có cảm giác không như bình thường, đau khi nhai
- Răng bị lung lay nhiều và di lệch nên ngày càng thưa ra.
- Nướu tụt ra khỏi răng

4. Kết luận
Viêm nha chu rất nguy hiểm vì các biến chứng gây ra làm phá hủy các cấu trúc nâng đỡ của răng, trong đó có xương hàm. Răng trở nên lung lay, rụng răng hoặc cần nhổ răng cùng với nhiều vấn đề sức khỏe khác.
Bệnh không gây nguy hiểm trực tiếp đến tính mạng. Tuy nhiên, bệnh tạo điều kiện cho việc lan rộng nhiễm trùng đến các vùng khác trên cơ thể, đòi hỏi điều trị kịp thời. Mặc dù bệnh nha chu không thể chữa khỏi hoàn toàn nhưng sẽ được kiểm soát bằng cách vệ sinh răng miệng tốt và làm sạch răng đều đặn theo khuyến nghị của nha sĩ.
Liên hệ đến hotline 056.7678.868 – 0795.131.368 để đặt lịch khám và lắng nghe tư vấn trực tiếp từ các bác sĩ tại NHA KHOA EUREKA BÌNH ĐÔNG!
Thông tin liên hệ
Địa chỉ: 306 Bến Bình Đông, Phường 15, Quận 8, Thành phố Hồ Chí Minh
Email: nkbinhdong@gmail.com
Website: Nhakhoaeureka.com
Điện thoại: 056.7678.868 – 0795.131.368
