Hiện tượng tụt nướu răng là một trong những vấn đề nha khoa thường gặp ở nhiều người, đặc biệt là những người có tuổi. Tụt nướu răng không chỉ ảnh hưởng đến thẩm mỹ của hàm răng mà còn gây ra nhiều biến chứng khó chịu và nguy hiểm cho sức khỏe. Vậy hiện tượng tụt nướu răng là gì? Nguyên nhân, triệu chứng và cách phòng ngừa ra sao? Hãy cùng tìm hiểu qua bài viết sau đây.
Contents
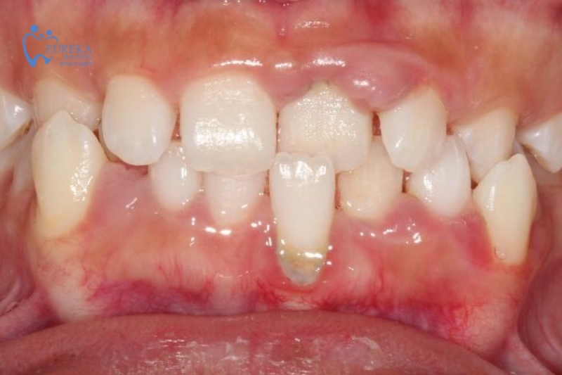
1. Hiện tượng tụt nướu răng là gì?
Tụt nướu răng là hiện tượng nướu răng bị teo dần, lùi xuống, để lộ phần gốc của răng. Nướu răng là một loại mô mềm bao quanh và bảo vệ phần gốc của răng. Nướu răng có vai trò quan trọng trong việc giữ cho răng chắc khỏe và ngăn ngừa các bệnh lý về răng miệng. Khi nướu răng bị tụt, phần gốc của răng sẽ dễ bị hư hại do các yếu tố bên ngoài như vi khuẩn, axit, thức ăn… Điều này có thể dẫn đến các biến chứng như viêm nha chu, sâu răng, nhức răng, lung lay răng, mất răng…

2. Nguyên nhân của hiện tượng tụt nướu răng
Có nhiều nguyên nhân có thể gây ra tụt nướu răng, trong đó có thể kể đến như sau:
2.1 Viêm nha chu
Đây là nguyên nhân phổ biến nhất của hiện tượng tụt nướu răng. Viêm nha chu là bệnh lý về nướu răng do sự xâm nhập của vi khuẩn trong mảng bám và cao răng. Vi khuẩn này sẽ gây ra các triệu chứng như sưng nướu, đau nướu, chảy máu nướu… Nếu không được điều trị kịp thời, vi khuẩn sẽ tiến sâu vào xương hàm và gây ra tổn thương cho các mô xung quanh răng, làm cho nướu răng bị teo và lùi xuống.
2.2 Chải răng quá mạnh
Chải răng quá mạnh hay sử dụng bàn chải có lông cứng có thể làm tổn thương nướu răng và gây ra hiện tượng tụt nướu răng. Chải răng quá mạnh sẽ làm cho nướu răng bị trầy xước, viêm và dễ bị chảy máu. Ngoài ra, chải răng quá mạnh cũng có thể làm cho men răng bị mòn và để lộ phần gốc của răng.
2.3 Hút thuốc lá
Hút thuốc lá là một trong những thói quen xấu ảnh hưởng đến sức khỏe răng miệng. Hút thuốc lá sẽ làm giảm lưu lượng máu đến nướu răng, làm cho nướu răng bị suy yếu và dễ bị tổn thương. Hút thuốc lá cũng làm tăng nguy cơ mắc các bệnh lý về nướu răng như viêm nha chu, ung thư nướu… Tất cả những yếu tố này đều có thể gây ra tụt nướu răng.
2.4 Tuổi tác
Tuổi tác cũng là một yếu tố ảnh hưởng đến hiện tượng tụt nướu răng. Khi già đi, các mô xung quanh răng như nướu răng, xương hàm, dây chằng răng… sẽ bị lão hóa và mất đi độ đàn hồi. Điều này làm cho nướu răng bị giảm dày, lỏng lẻo và dễ bị lùi xuống. Ngoài ra, tuổi tác cũng làm giảm khả năng miễn dịch của cơ thể, làm cho nướu răng dễ bị nhiễm trùng và viêm.
2.5 Các yếu tố khác
Ngoài những nguyên nhân trên, còn có một số yếu tố khác có thể gây ra hiện tượng tụt nướu răng, như: di truyền, thiếu vitamin C, sử dụng chỉ nha khoa không đúng cách, mang niềng răng quá lâu, bệnh lý hệ thống như tiểu đường, bệnh tim mạch…

>> Xem thêm: Cách phòng ngừa sau khi phẫu thuật răng khôn mà bạn cần biết
3. Cách phòng ngừa tụt nướu răng
Để phòng ngừa tụt nướu răng, bạn có thể thực hiện những cách sau đây:
3.1 Chăm sóc răng miệng đúng cách
Đây là cách quan trọng và cơ bản nhất để bảo vệ nướu răng và ngăn ngừa hiện tượng tụt nướu răng. Bạn nên chải răng ít nhất hai lần mỗi ngày, sử dụng chỉ nha khoa để loại bỏ mảng bám và cao răng giữa các kẽ răng, sử dụng kem đánh răng có chứa fluor để tăng cường men răng và ngăn ngừa sâu răng. Ngoài ra, bạn cũng nên sử dụng bàn chải có lông mềm và chải răng nhẹ nhàng, không quá mạnh để tránh làm tổn thương nướu răng.
3.2 Khám và điều trị nha khoa định kỳ
Bạn nên khám và điều trị nha khoa ít nhất 6 tháng một lần để phát hiện và xử lý kịp thời các vấn đề về răng miệng. Bạn có thể yêu cầu bác sĩ nha khoa làm sạch cao răng, kiểm tra tình trạng nướu răng, xương hàm và các mô xung quanh răng. Nếu bạn đã bị tụt nướu răng, bạn có thể được điều trị bằng các phương pháp như: cấy ghép nướu, ghép xương hàm, ghép dây chằng… Tùy theo mức độ và nguyên nhân khi tụt nướu răng, bác sĩ nha khoa sẽ tư vấn cho bạn phương pháp điều trị phù hợp.
3.3 Bỏ hút thuốc lá và giảm uống rượu
Hút thuốc lá và uống rượu là hai thói quen xấu ảnh hưởng đến sức khỏe răng miệng nói chung và nướu răng nói riêng. Hút thuốc lá và uống rượu sẽ làm giảm lưu lượng máu đến nướu răng, làm cho nướu răng bị suy yếu và dễ bị tổn thương. Hút thuốc lá và uống rượu cũng làm tăng nguy cơ mắc các bệnh lý về nướu răng như viêm nha chu, ung thư nướu… Do đó, bạn nên bỏ hút thuốc lá và giảm uống rượu để bảo vệ nướu răng và ngăn ngừa hiện tượng tụt nướu răng.
3.4 Bổ sung vitamin C và các chất dinh dưỡng khác
Vitamin C là một chất chống oxy hóa có tác dụng bảo vệ và phục hồi các mô xung quanh răng, như nướu răng, xương hàm, dây chằng răng… Thiếu vitamin C sẽ làm cho nướu răng bị yếu, sưng, chảy máu và dễ bị tụt. Do đó, bạn nên bổ sung vitamin C và các chất dinh dưỡng khác như canxi, magie, kẽm… để tăng cường sức khỏe cho nướu răng và ngăn ngừa tụt nướu răng. Bạn có thể ăn nhiều trái cây và rau xanh giàu vitamin C như cam, chanh, dâu, cà chua, bông cải xanh… hoặc uống thuốc bổ sung vitamin C theo chỉ định của bác sĩ.

4. Kết luận
Hiện tượng tụt nướu răng là một vấn đề nha khoa không chỉ ảnh hưởng đến thẩm mỹ mà còn gây ra nhiều biến chứng khó chịu và nguy hiểm cho sức khỏe. Bạn nên chú ý đến các triệu chứng của tụt nướu răng và áp dụng các cách phòng ngừa hiệu quả để bảo vệ nướu răng và hàm răng của mình. Nếu bạn đã bị tụt nướu răng, bạn nên đi khám và điều trị nha khoa sớm để có được kết quả tốt nhất.
Thông tin liên hệ
Địa chỉ: 306 Bến Bình Đông, Phường 15, Quận 8, Thành phố Hồ Chí Minh
Email: nkbinhdong@gmail.com
Website: Nhakhoaeureka.com
Điện thoại: 0795 131 368 – 028 3951 7006
