Viêm lợi là một bệnh lý răng miệng thường gặp ở nhiều người, đặc biệt là những người không chú ý đến vệ sinh răng miệng. Viêm lợi có thể gây ra nhiều phiền toái như đau nhức, sưng đỏ, chảy máu nướu, hôi miệng và ảnh hưởng đến sức khỏe tổng thể. Vậy nguyên nhân gây ra viêm lợi là gì và làm sao để phòng ngừa hiệu quả? Hãy cùng tìm hiểu trong bài viết này.
Contents
1. Nguyên nhân gây ra viêm lợi
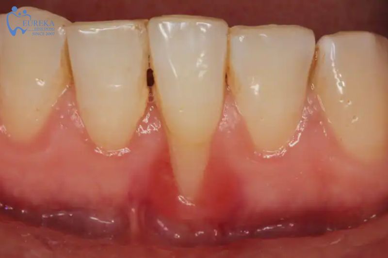
Viêm lợi là tình trạng nướu lợi bị tổn thương và viêm nhiễm do vi khuẩn trong mảng bám hoặc cao răng tồn tại lâu trong miệng. Mảng bám là một lớp màng mỏng bám trên bề mặt răng, chứa nhiều vi khuẩn và thức ăn thừa. Nếu không được loại bỏ kịp thời, mảng bám sẽ biến thành cao răng cứng, dính chặt vào chân răng và dưới nướu. Cao răng sẽ kích thích và tấn công vào mô nướu, gây ra các triệu chứng của viêm lợi.
Ngoài ra, còn có một số yếu tố khác có thể gây ra hoặc làm nặng thêm viêm lợi, như:
- Vệ sinh răng miệng không đúng cách hoặc không thường xuyên
- Hút thuốc lá, uống rượu bia
- Ăn nhiều đồ ăn cay nóng, chua, ngọt
- Thiếu dinh dưỡng, đặc biệt là vitamin C
- Thay đổi nội tiết tố, như ở phụ nữ mang thai, sau sinh hoặc đang cho con bú
- Mắc các bệnh suy giảm hệ miễn dịch, như ung thư, tiểu đường, HIV
- Sử dụng một số loại thuốc có tác dụng phụ làm giảm lượng nước bọt và gây khô miệng

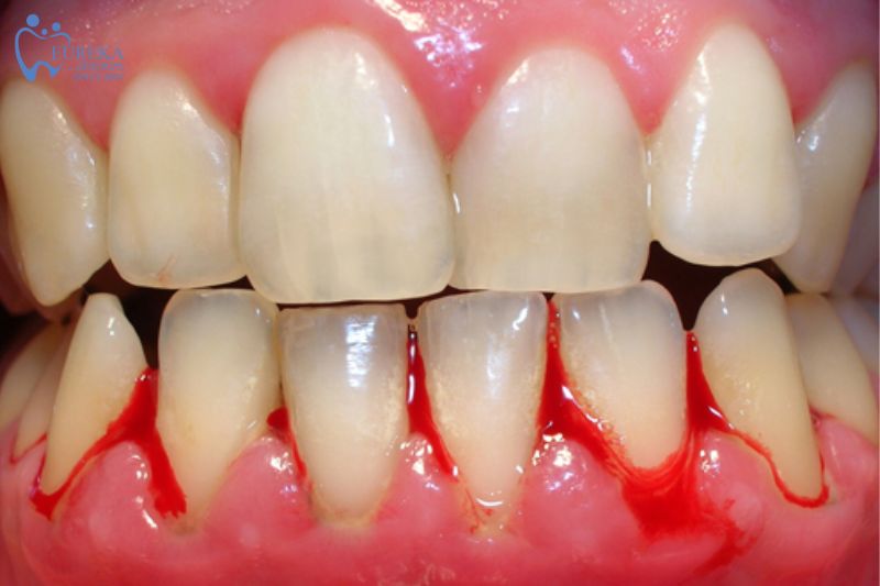
2. Triệu chứng của viêm lợi
Viêm lợi có thể được chia thành hai loại: viêm lợi cấp tính và viêm lợi mãn tính. Viêm lợi cấp tính thường xuất hiện đột ngột và kéo dài trong một thời gian ngắn, có thể do nhiễm trùng hoặc do tổn thương nướu do vật sắc nhọn. Viêm lợi mãn tính thường tiến triển từ từ và kéo dài trong một thời gian dài, do sự tích tụ của mảng bám và cao răng.
Một số triệu chứng phổ biến của viêm lợi là:
- Nướu lợi sưng đỏ, mềm và dễ chảy máu khi chải răng hoặc ăn nhai
- Nướu lợi bị rút lui, làm lộ ra phần gốc răng
- Răng bị lung lay hoặc thay đổi vị trí
- Hôi miệng và có mùi hôi từ nướu
- Đau nhức, ê buốt và khó chịu khi ăn nhai
- Có thể có mủ hoặc áp xe ở nướu

3. Cách phòng ngừa viêm lợi hiệu quả
Để phòng ngừa viêm lợi, bạn cần chú ý đến các biện pháp sau:
- Vệ sinh răng miệng đúng cách và thường xuyên, ít nhất hai lần mỗi ngày, sử dụng bàn chải mềm, kem đánh răng có chứa fluor và chỉ nha khoa để loại bỏ mảng bám và cao răng
- Nạo lưỡi để giảm lượng vi khuẩn trên lưỡi và cải thiện hơi thở
- Súc miệng bằng nước muối, nước súc miệng có chứa chất kháng khuẩn hoặc các loại nước súc miệng tự nhiên như dầu dừa, tinh dầu sả để làm sạch và làm dịu nướu
- Đến khám nha khoa định kỳ, ít nhất 6 tháng một lần, để kiểm tra và làm sạch răng chuyên sâu
- Ăn uống cân bằng, hạn chế các loại thức ăn cay nóng, chua, ngọt, bổ sung vitamin C và các chất dinh dưỡng khác cho cơ thể
- Ngừng hút thuốc lá, giảm uống rượu bia và các chất kích thích khác
- Bảo vệ răng miệng khi tham gia các hoạt động có nguy cơ bị tổn thương như thể thao
- Nếu có bất kỳ triệu chứng nào của viêm lợi, bạn nên đến khám và điều trị sớm để tránh biến chứng

>> Xem thêm: Tụt nướu răng là gì? Tại sao phải coi trọng trình trạng này?
4. Kết luận
Viêm lợi là một bệnh lý răng miệng không nên xem nhẹ, vì nó có thể gây ra nhiều hậu quả xấu cho sức khỏe. Nguyên nhân gây ra viêm lợi chủ yếu là do vi khuẩn trong mảng bám và cao răng, cùng với một số yếu tố khác như vệ sinh răng miệng kém, ăn uống không hợp lý, mắc các bệnh suy giảm hệ miễn dịch,… Bạn có thể phòng ngừa viêm lợi hiệu quả bằng cách vệ sinh răng miệng đúng cách và thường xuyên, ăn uống cân bằng, ngừng hút thuốc lá, uống rượu bia và đến khám nha khoa định kỳ. Nếu bạn đã bị viêm lợi, bạn nên đi khám ngay.
Thông tin liên hệ
Địa chỉ: 306 Bến Bình Đông, Phường 15, Quận 8, Thành phố Hồ Chí Minh
Email: nkbinhdong@gmail.com
Website: Nhakhoaeureka.com
Điện thoại: 0795 131 368 – 028 3951 7006
