1. Niềng răng mắc cài là gì?
Niềng răng mắc cài là phương pháp chỉnh nha phổ biến. Sử dụng các mắc cài bằng chất liệu kim loại hoặc sứ gắn lên bề mặt răng, kết hợp với các dây cung và khí cụ chỉnh nha tạo lực kéo giúp răng dịch chuyển về vị trí mong muốn.
Phương pháp có thể khắc phục được tình trạng hô, móm, lệch lạc, không đều, khớp cắn ngược,…
2. Các loại niềng răng mắc cài phổ biến hiện nay
Ngày nay với sự phát triển về kỹ thuật nha khoa hiện đại, nên có rất nhiều phương pháp cho bạn lựa chọn. Tuỳ vào tình trạng răng, khả năng tài chính của mỗi người có thể lựa chọn cho mình một trong các phương pháp sau:
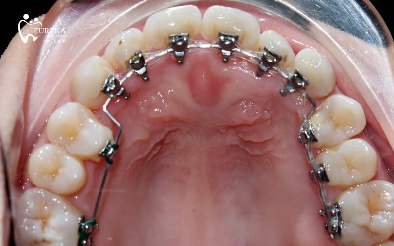
2.1 Niềng răng mắc cài kim loại truyền thống:

Niềng răng mắc cài kim loại là phương pháp truyền thống được ra đời đầu tiên trong lĩnh vực chỉnh nha. Mắc cài làm bằng chất liệu hợp kim hoặc titanium gắn trên bề mặt răng cùng với các dây cung cố định trong rãnh mắc cài. Dây cung niềng răng liên kết với mắc cài tạo lực siết tác động làm răng dịch chuyển về vị trí mong muốn theo kế hoạch của bác sĩ chỉnh nha.
Ưu điểm:
- Áp dụng cho các trường hợp từ đơn giản cho đến phức tạp
- Hiệu quả cao
- Chi phí niềng thấp, phù hợp nhiều đối tượng
- Dễ thay thế khi bị hư hoặc rớt
Nhược điểm:
- Tính thẩm mỹ thấp
- Không được tháo ra trong lúc niềng răng, gây khó khăn trong việc vệ sinh và ăn uống
2.2. Niềng răng mắc cài sứ

Đây là loại mắc cài được làm từ chất liệu sứ, cấu tạo nhỏ gọn, có màu sắc giống màu của men răng, cơ chế hoạt động như mắc cài kim loại.
Ưu điểm:
- Có tính thẩm mỹ cao, giúp thoải mái hơn khi giao tiếp
- Chất liệu bằng sứ thân thiện với môi trường
Nhược điểm:
- Giá thành cao hơn so với phương pháp truyền thống
- Thời gian điều trị lâu hơn
- Giòn và dễ vỡ nếu không giữ gìn cẩn thận
- Kích cỡ chốt niềng lớn có thể khiến người niềng thấy khó chịu
- Chân đế dễ bị xỉn màu, ố vàng nếu chăm sóc răng miệng sai cách.
2.3. Niềng răng mắc cài tự đóng
Đây cũng là dạng mắc cài kim loại, nhưng được bổ sung thêm hệ thống nắp trượt tự động thay cho dây thun nhằm giữ dây cung cố định trong rãnh mắc cài, tạo lực di chuyển răng.
Ưu điểm:
- Do mắc cài bật nắp tự động nên rút ngắn thời gian thay dây cung
- Giảm lực ma sát, qua đó cảm giác đau nhức nướu được giảm thiểu.
- Không lo rớt mắc cài
- Giảm cuộc hẹn với bác sĩ hơn
- Thời gian đeo niềng được rút ngắn
Nhược điểm:
- Giá thành cao
- Bộ khí cụ có độ dày lớn có thể khiến người niềng khó chịu
- Gây bất tiện trong việc vệ sinh và ăn uống, do không thể tự tháo lắp khi cần.
- Đòi hỏi bác sĩ chuyên nghiệp, chuyên môn cao để thực hiện chỉnh nha an toàn và hiệu quả.

2.4. Niềng răng mắc cài mặt trong ( Mặt lưỡi)
Đây là phương pháp niềng có cơ chế tương tự như niềng răng mắc cài kim loại nhưng các mắc cài được gắn vào mặt trong thân răng.
Ưu điểm:
- Tính thẩm mỹ cao hơn cả niềng răng mắc cài sứ vì toàn bộ khí cụ đã được bác sĩ đặt ở mặt trong răng.
- Hạn chế tình trạng đau môi, má
- Đảm bảo hiệu quả niềng như các phương pháp khác.
Nhược điểm:
- Đòi hỏi bác sĩ có chuyên môn cao
- Giá thành cao
- Mắc cài và dây cung cố định, khó vệ sinh mắc cài và gây bất tiện khi ăn uống.
- Lưỡi dễ bị dính vào mắc cài gây loét lưỡi, gây vướng víu.

3. Niềng răng mắc cài mất bao nhiêu thời gian
Thời gian niềng răng sẽ mất khoảng từ 6 tháng – 2,5 năm. Nhưng niềng răng có lâu không sẽ phụ thuộc vào phương pháp niềng và tay nghề bác sĩ và tình trạng răng của mỗi người.
4. Chi phí niềng răng tại Nha Khoa Eureka
Chi phí niềng răng bao nhiêu sẽ tùy thuộc vào tình trạng răng của từng khách hàng nên mỗi nha khoa sẽ có mức chi phí khác nhau. Tại nha khoa Eureka, chi phí đã bao gồm toàn bộ chi phí và không phát sinh thêm.
Tìm hiểu thêm: Niềng răng thẩm mỹ và chi phí niềng răng bao nhiêu?
5. Quy trình niềng răng tại Eureka
Quy trình niềng răng tại Eureka bao gồm các bước sau
Bước 1: Chụp hình X-Quang
Bước 2: Khám tổng quát và tư vấn về tình trạng răng
Bước 3: Lên phác đồ điều trị
Bước 4: Làm sạch răng và điều trị các bệnh răng miệng nếu có
Bước 5: Lắp mắc cài
Bước 6: Tái khám định kỳ và điều chỉnh mắc cài
Bước 7: Tháo niềng và đeo hàm duy trì
6. Niềng răng mắc cài ở đâu uy tín
Niềng răng là một hành trình quan trọng. vì vậy lựa chọn được nha khoa uy tín sẽ giúp bạn đạt được kết quả như mong muốn và đảm bảo an toàn trong quá trình niềng răng.
Nha Khoa Eureka là địa chỉ được nhiều khách hàng tin chọn.
- Chúng tôi có đội ngũ bác sĩ tốt nghiệp từ ĐH Y Dược TP.HCM và tu nghiệp ở nước ngoài. Dày dặn kinh nghiệm thực hành chỉnh nha với mắc cài và Invisalign, rất nhiều ca thành công. vậy nên bạn có thể yên tâm
- Tại Nha Khoa Eureka, chúng tôi luôn chú trọng đến trải nghiệm khách hàng với mong muốn mang đến những dịch vụ nha khoa tiện lợi và an toàn. Chính vì điều này nên đội ngũ Eureka luôn tận tâm với từng khách hàng khi đến với chúng tôi.
- Trang thiết bị, cơ sở vật chất hiện đại, đầy đủ phục vụ cho điều trị như máy chụp phim X-quang, CBCT giúp khảo sát chính xác tình trạng xương hàm, máy scan răng Itero 5d, máy PRF kích thích lành thương nhanh. Điều này góp phần mang đến hiệu quả chỉnh nha của quá trình niềng răng.
TRAO NIỀM TIN CHO EUREKA – CHÚNG TÔI SẼ TRAO CHO BẠN NỤ CƯỜI HOÀN MỸ
Liên hệ đặt lịch: 07.9513.1368 – 028.3951.7006
Địa chỉ: 306 Bến Bình Đông, Phường 15, Quận 8, Tp.Hồ Chí Minh

