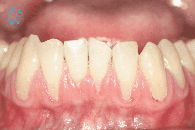
Tụt nướu răng đề cập đến vấn đề mô nướu bị teo rút làm hở chân răng. Đây là một tình trạng thường xuyên gặp phải khi sức khỏe răng miệng không tốt. Tình trạng này không chỉ ảnh hưởng về mặt thẩm mỹ mà còn tạo điều kiện phát triển những vấn đề nghiêm trọng khác. Như bệnh nhân sẽ bị ê buốt răng, nhiễm trùng, sâu răng hoặc thậm chí là mất răng. Vậy tụt nướu răng còn có những ảnh hưởng nào khác không? Hãy cùng theo dõi bài viết dưới đây của Nha khoa Eureka để biết thêm chi tiết nhé!

Contents
1. Biểu hiện của tụt nướu răng là gì?
Tình trạng tụt nướu răng có những biểu hiệu tương đối rõ ràng. Dấu hiệu răng bị tụt nướu rất dễ nhận ra bằng mắt thường. Khi đó chân răng bị lộ rõ, xảy ra khi nướu mất dần hoặc do một nguyên nhân nào đó khiến cho nướu di chuyển dần sâu vào bên trong chân răng. Phần chân răng cần được nướu bao phủ và bảo vệ, nếu không chúng rất dễ bị ăn mòn do môi trường bên trong khoang miệng. Từ đó gây ảnh hưởng đến mạch quản và dây thần kinh quanh răng.
Thông thường, các biểu hiện của tình trạng tụt nướu sẽ xuất hiện nhỏ lẻ. Tuy nhiên, sau một thời gian tình trạng sẽ ngày càng rõ rệt hơn. Bệnh có thể xảy ra cả hàm trên và hàm dưới, ở bất kỳ vị trí nào. Nhưng trường hợp được gặp nhiều nhất có thể là ở hàm dưới và quanh răng nanh. Vị trí cửa và hàm ít khi bị tụt. Ngoài ra, nếu có xảy ra thì tình trạng bệnh đã tiến triển vô cùng nghiêm trọng.
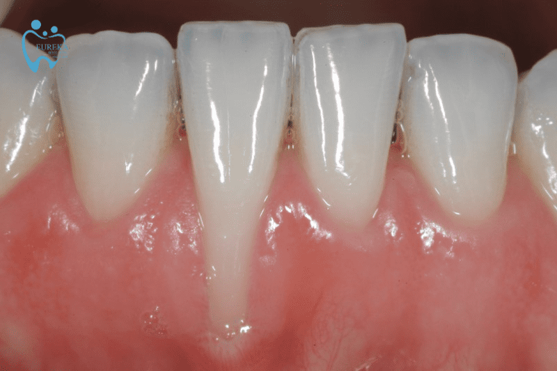
Tụt nướu tuy không gây ảnh hưởng quá nghiêm trọng tới sức khỏe ở thời điểm ban đầu, nhưng nếu để lâu tình trạng này chắc chắn tiềm ẩn nhiều biến chứng nguy hiểm về sau.

2. Tụt nướu răng ảnh hưởng như thế nào đến sức khỏe răng miệng?
Tụt nướu răng thường rất dễ gặp nhưng lại không nhiều người biết cách điều trị hay khắc phục. Từ đó ảnh hưởng rất nhiều đến sức khỏe răng miệng như:
- Các mảng bám, cao răng, cặn thức ăn mắc vào kẽ răng khiến việc vệ sinh vô cùng khó khăn, gây ra hôi miệng từ đó dẫn đến nguy cơ sâu răng.
- Khi nướu bị tụt phần nhạy cảm như chân răng sẽ bị lộ ra ngoài. Điều này tạo điều kiện cho vi khuẩn trong khoang miệng tấn công. Kéo đến các dấu hiệu như ê buốt, viêm tủy răng, chảy máu chân răng, tiêu xương răng,…
- Tụt nướu gây mất thẩm mỹ nghiêm trọng, tạo nên những kẽ hở giữa các răng. Khiến răng trông dài hơn màu sắc không đồng nhất.
Tác nhân chính gây nên tình trạng này là do người bệnh vệ sinh và chăm sóc răng miệng không tốt. Khiến cao răng, các mảng bám tích tụ ở phần lợi lâu dần ngày càng nhiều sẽ đẩy nướu tụt xuống. Đa số điều trị tụt nướu không khó nhưng nếu không được chăm sóc thì bệnh rất dễ dàng tái phát.
>> Xem thêm: Những thực phẩm tốt cho sức khỏe nướu răng
3. Cách chăm sóc răng miệng ngăn ngừa bệnh tái phát
Đa số những nguyên nhân gây bệnh là do vệ sinh răng miệng không tốt, không thường xuyên lấy cao răng, loại bỏ mảng bám. Cách điều trị bệnh khá đơn giản nhưng để ngăn ngừa tái phát là thì buộc người bệnh phải vô cùng kiên nhẫn và thực hiện thường xuyên.
- Đánh răng sau bữa ăn và trước khi đi ngủ
Thói quen chăm sóc răng miệng tốt sẽ phòng ngừa nguy cơ tái phát bệnh. Lựa chọn những bàn chải đánh răng với đầu cọ mềm tránh gây tổn thương cho nướu. Đây là cách đơn giản nhất để vệ sinh răng miệng loại bỏ cặn, thức ăn thừa bám vào kẽ răng và nướu, Đồng thời hạn chế được sự tích tụ cao răng.
- Sử dụng chỉ nha khoa và nước súc miệng
Sử dụng chỉ nha khoa và nước súc miệng cùng với đánh răng để loại bỏ thức ăn thừa. Đặc biệt là khi bị tụt nướu rất khó làm sạch toàn bộ các kẽ răng.
- Lấy cao răng định kỳ 6 tháng một lần
Mặc dù đánh răng và ngậm nước súc miệng hàng ngày nhưng những cách vệ sinh thông thường này vẫn không thể ngăn cản được sự tích tụ của cao răng bám ở chân răng. Khi cao bám quá nhiều, chúng sẽ đẩy nướu để chiếm thêm chỗ bám vào chân răng. Vì thế, mà bạn nên định kỳ 6 tháng lấy cao một lần, cùng với khám sức khỏe răng miệng, nhằm khắc phục sớm các vấn đề phát sinh.

Kết luận
Tụt nướu răng là tình trạng nướu bị co rút lại, để lộ chân răng và gây ra nhiều phiền toái cho sức khỏe răng miệng. Tụt nướu có thể do nhiều nguyên nhân gây ra, như bệnh nha chu, đánh răng không đúng cách, thay đổi nội tiết, gen di truyền… Tùy theo mức độ và nguyên nhân của tụt nướu mà có các cách điều trị khác nhau. Nếu quý khách đang gặp trình trạng trên thì liên hệ ngay với chúng tôi để được tư vấn nhé! Nha khoa Eureka Bình Đông là địa chỉ nha khoa uy tín, chất lượng tại TP.HCM.
Để đặt lịch khám tại nha khoa, Quý khách vui lòng bấm số HOTLINE 056.7678.868 – 0795.131.368 hoặc đặt lịch trực tiếp TẠI ĐÂY.
Thông tin liên hệ
Địa chỉ: 306 Bến Bình Đông, Phường 15, Quận 8, Thành phố Hồ Chí Minh
Email: nkbinhdong@gmail.com
Website: Nhakhoaeureka.com
Điện thoại: 056.7678.868 – 0795.131.368
