Tụt nướu răng là tình trạng phần mô nướu bao quanh chân răng bị co rút dần xuống, gây ra hở nướu, lộ chân răng ra ngoài. Tình trạng này không chỉ ảnh hưởng đến thẩm mỹ mà còn có thể gây ra viêm nướu, ê buốt, răng lung lay và thậm chí là mất răng. Vậy tụt nướu răng có phục hồi được không và cách trị tụt nướu như thế nào? Bài viết này sẽ giúp bạn tìm hiểu về nguyên nhân, triệu chứng và cách điều trị tụt nướu răng hiệu quả.
Contents
1. Triệu chứng của hiện tượng tụt nướu răng
Hiện tượng tụt nướu răng có thể có những triệu chứng sau đây:
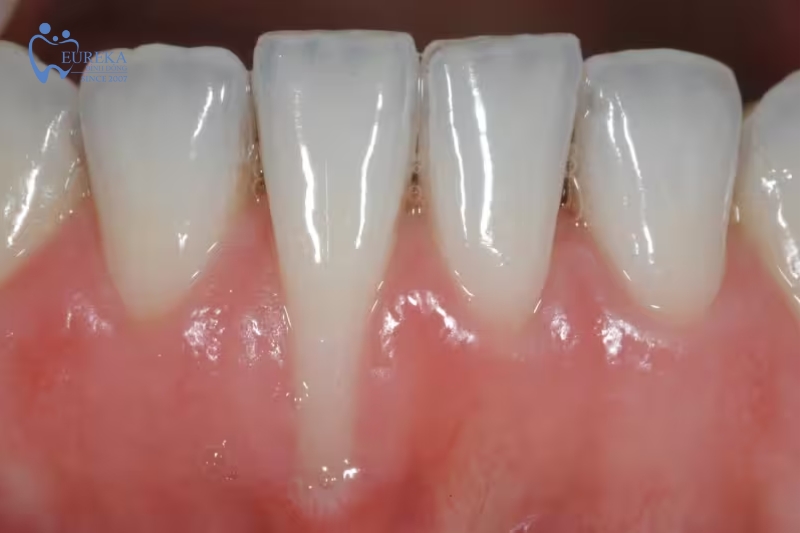
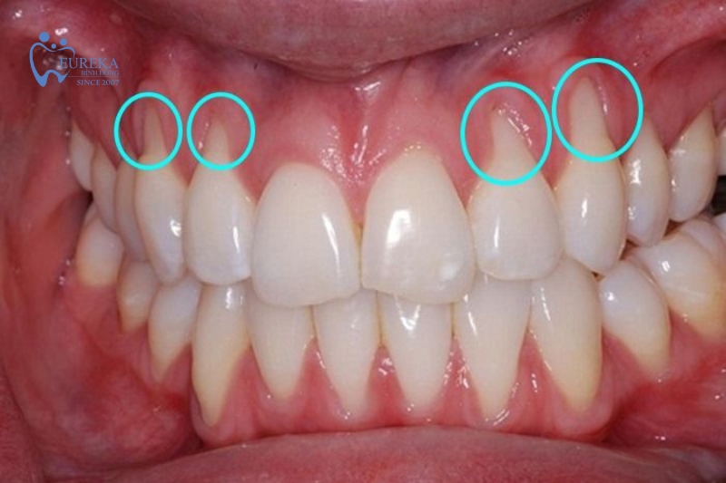
1.1 Nướu răng bị lùi xuống
Đây là triệu chứng dễ nhận biết nhất của hiện tượng tụt nướu răng. Nướu răng bị lùi xuống sẽ để lộ phần gốc của răng, làm cho răng trông dài hơn và có khoảng cách giữa các răng. Ngoài ra, nướu răng bị lùi xuống cũng làm cho hàm răng mất đi sự cân đối và thẩm mỹ.
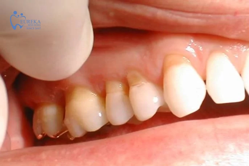
1.2 Nướu răng bị sưng, đau và chảy máu
Đây là những triệu chứng thường gặp khi nướu răng bị viêm do vi khuẩn hoặc chải răng quá mạnh. Nướu răng bị sưng, đau và chảy máu sẽ gây ra cảm giác khó chịu và ảnh hưởng đến việc ăn uống và nói chuyện. Nếu không được chữa trị kịp thời, những triệu chứng này có thể gây ra nhiễm trùng và tổn thương cho các mô xung quanh răng.
1.3 Răng bị nhạy cảm
Khi phần gốc của răng bị để lộ do nướu răng bị tụt, răng sẽ trở nên nhạy cảm với các yếu tố bên ngoài như nhiệt độ, áp lực, axit… Răng bị nhạy cảm sẽ gây ra cảm giác đau nhói, châm chích hoặc tê buốt khi ăn uống hay chải răng. Răng bị nhạy cảm không chỉ ảnh hưởng đến chất lượng cuộc sống mà còn làm giảm khả năng bảo vệ răng khỏi các bệnh lý khác.
1.4 Răng bị lung lay và mất răng
Đây là biến chứng nghiêm trọng nhất của hiện tượng tụt nướu răng. Khi nướu răng bị tụt, phần gốc của răng sẽ không còn được bám chắc vào xương hàm và các mô xung quanh. Điều này làm cho răng bị lung lay và dễ bị rụng ra. Răng bị lung lay và mất răng sẽ gây ra nhiều hậu quả như: khó ăn nhai, mất thẩm mỹ, xương hàm bị thoái hóa, khuôn mặt bị biến dạng…

2. Tụt nướu răng có phục hồi được không?
Theo các chuyên gia, tụt nướu răng có thể phục hồi được nếu được phát hiện và điều trị sớm. Tùy vào mức độ và nguyên nhân của tụt nướu răng, có thể áp dụng các phương pháp điều trị khác nhau, như:
- Điều trị bằng thuốc: Nếu tụt nướu răng do viêm nha chu hoặc viêm nướu, có thể dùng các loại thuốc kháng sinh, kháng viêm, chống sưng để giảm các triệu chứng và ngăn ngừa sự lan rộng của viêm. Tuy nhiên, cần tuân thủ theo chỉ định của bác sĩ và không lạm dụng thuốc.
- Điều trị bằng phẫu thuật: Nếu tụt nướu răng do tổn thương cơ quan xung quanh răng, như mô mềm, xương hàm, hay do mất răng, có thể cần phải thực hiện phẫu thuật để cấy ghép mô hoặc xương. Phẫu thuật có thể giúp tái tạo lại kết cấu và hình dạng của nướu răng, cải thiện chức năng nhai và thẩm mỹ.
- Điều trị bằng vật lý trị liệu: Ngoài ra, có thể sử dụng các phương pháp vật lý trị liệu như sóng siêu âm, laser, ánh sáng xanh… để kích thích quá trình tái tạo tế bào và mô của nướu răng. Các phương pháp này có ưu điểm là ít đau đớn, ít gây biến chứng và có hiệu quả cao.

>> Xem thêm: Cách phòng ngừa sau khi phẫu thuật răng khôn mà bạn cần biết
3. Những cách trị tụt nướu phổ biến hiện nay
- Chăm sóc răng miệng đúng cách
- Dùng gel fluorid
- Dùng laser
- Phủ mặt răng bằng composite
- Phẫu thuật
Tùy theo từng trường hợp cụ thể, bạn có thể áp dụng một hoặc kết hợp nhiều cách trên để điều trị tụt nướu. Tuy nhiên, bạn cũng cần tuân theo sự hướng dẫn của bác sĩ và thực hiện các biện pháp chăm sóc răng miệng thường xuyên để có kết quả tốt nhất.

4. Kết luận
Tụt nướu răng là tình trạng nướu bị co rút lại, để lộ chân răng và gây ra nhiều phiền toái cho sức khỏe và thẩm mỹ răng miệng. Tụt nướu có thể do nhiều nguyên nhân gây ra, như bệnh nha chu, đánh răng không đúng cách, thay đổi nội tiết, gen di truyền… Tùy theo mức độ và nguyên nhân của tụt nướu mà có các cách điều trị khác nhau. Nếu quý khách đang gặp trình trạng trên thì liên hệ ngay với chúng tôi để được tư vấn nhé!
Thông tin liên hệ
Địa chỉ: 306 Bến Bình Đông, Phường 15, Quận 8, Thành phố Hồ Chí Minh
Email: nkbinhdong@gmail.com
Website: Nhakhoaeureka.com
Điện thoại: 0795 131 368 – 028 3951 7006
