Nướu răng là một phần quan trọng của hệ thống răng miệng, có chức năng bảo vệ và hỗ trợ cho răng. Tuy nhiên, do nhiều nguyên nhân khác nhau như chế độ ăn uống, vệ sinh răng miệng, bệnh lý nha chu, tuổi tác… nướu răng có thể bị tụt xuống, lộ ra phần gốc răng hoặc hàm xương. Điều này không chỉ ảnh hưởng đến thẩm mỹ mà còn gây ra nhiều tác hại cho sức khỏe răng miệng và cơ thể. Trong bài viết này, chúng tôi sẽ cùng bạn tìm hiểu về tác hại của tụt nướu răng và những thực phẩm tốt cho sức khỏe nướu răng.
Contents
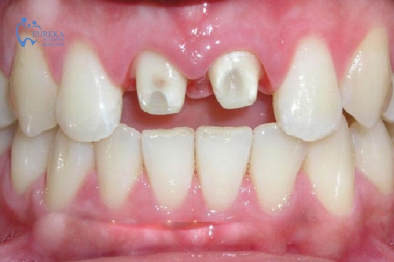
1. Tác hại của tụt nướu răng đối với sức khỏe và thẩm mỹ
Tụt nướu răng là một hiện tượng phổ biến, có thể xảy ra ở bất kỳ lứa tuổi nào. Theo một nghiên cứu của Viện Nghiên cứu Răng Miệng Quốc gia Hoa Kỳ, khoảng 47% người trưởng thành từ 30 tuổi trở lên có ít nhất một răng bị tụt nướu từ 1mm đến 3mm hoặc hơn. Tụt nướu răng có thể gây ra những tác hại sau đây:
1.1 Làm mất thẩm mỹ
Khi nướu răng bị tụt xuống, phần gốc răng hoặc hàm xương sẽ lộ ra, làm cho răng trông dài hơn, không đều nhau và mất đi vẻ đẹp tự nhiên. Điều này có thể ảnh hưởng đến sự tự tin và giao tiếp của người bệnh.
1.2 Gây thoái hóa xương hàm
Khi nướu răng bị tụt xuống, áp lực khi nhai sẽ không được phân bổ đều lên toàn bộ diện tích răng mà chủ yếu tập trung vào phần gốc răng. Điều này có thể làm cho xương hàm bị thoái hóa, mất dần khối lượng và độ cứng, dẫn đến nguy cơ rung lắc và rụng răng.

1.3 Gây đau nhức và viêm nhiễm
Khi nướu răng bị tụt xuống, phần gốc răng sẽ trở nên nhạy cảm với các yếu tố bên ngoài như nhiệt độ, axit, ngọt… gây ra cảm giác đau nhức khi ăn uống. Ngoài ra, khe hở giữa nướu và răng cũng là nơi dễ tích tụ thức ăn và vi khuẩn, gây ra viêm nhiễm, sưng đau và chảy máu nướu.
1.4 Gây các bệnh lý toàn cơ thể
Tụt nướu răng không chỉ ảnh hưởng đến răng miệng mà còn có thể gây ra các bệnh lý toàn cơ thể như bệnh tim mạch, tiểu đường, viêm khớp, thai ngoài tử cung… Đây là do vi khuẩn trong miệng có thể xâm nhập vào máu và gây viêm nhiễm ở các cơ quan khác.

>> Xem thêm: Tụt nướu răng có phục hồi được không? Cách trị tụt nướu
2. Những thực phẩm tốt cho sức khỏe nướu răng
Để phòng ngừa và điều trị tụt nướu răng, ngoài việc chăm sóc răng miệng đúng cách và đi khám nha sĩ định kỳ, chúng ta cũng cần chú ý đến chế độ ăn uống. Có những thực phẩm có thể giúp tăng cường sức khỏe nướu răng, bảo vệ chúng khỏi các tác nhân gây hại. Dưới đây là một số thực phẩm tốt cho sức khỏe nướu răng mà bạn nên bổ sung vào thực đơn hàng ngày:
2.1 Sữa và các sản phẩm từ sữa
Sữa và các sản phẩm từ sữa như phô mai, sữa chua, kem… là những nguồn cung cấp canxi và phospho tốt cho xương và răng. Canxi và phospho giúp tăng độ cứng và kháng chịu của xương hàm và răng, ngăn ngừa thoái hóa xương hàm và tụt nướu răng. Ngoài ra, sữa và các sản phẩm từ sữa còn có khả năng làm trung hòa axit trong miệng, giảm nguy cơ sâu răng và viêm nhiễm nướu.
2.2 Rau xanh và trái cây giàu vitamin C
Rau xanh và trái cây giàu vitamin C như bắp cải, cà rốt, cam, chanh, dâu tây… là những thực phẩm có lợi cho sức khỏe nướu răng. Vitamin C giúp tăng cường hệ miễn dịch, chống viêm nhiễm và chảy máu nướu. Vitamin C còn có vai trò quan trọng trong quá trình sản sinh collagen, một loại protein giúp kết nối các mô trong cơ thể, bao gồm mô nướu.
2.3 Hạt và hạnh nhân
Hạt và hạnh nhân là những thực phẩm giàu protein, canxi, phospho và magie. Những chất dinh dưỡng này giúp bảo vệ xương hàm và răng khỏi thoái hóa, tăng độ bền vững của nướu răng. Hạt và hạnh nhân còn có tác dụng kích thích tiết nước bọt, làm sạch miệng và loại bỏ vi khuẩn gây hại.
2.4 Trà xanh
Trà xanh là một loại thức uống có nhiều lợi ích cho sức khỏe, trong đó có sức khỏe răng miệng. Trà xanh chứa các chất chống oxy hóa và kháng khuẩn mạnh, có thể ngăn ngừa viêm nhiễm và chảy máu nướu. Trà xanh còn có chứa fluor, một khoáng chất giúp phòng ngừa sâu răng và bảo vệ men răng.

3. Kết luận
Tụt nướu răng là một hiện tượng phổ biến nhưng không được chú ý đến. Tụt nướu răng không chỉ làm mất thẩm mỹ mà còn gây ra nhiều tác hại cho sức khỏe răng miệng và cơ thể. Để phòng ngừa và điều trị tụt nướu răng, ngoài việc chăm sóc răng miệng đúng cách và đi khám nha sĩ định kỳ, chúng ta cũng cần chú ý đến chế độ ăn uống. Có những thực phẩm có thể giúp tăng cường sức khỏe nướu răng, bảo vệ chúng khỏi các tác nhân gây hại. Những thực phẩm này bao gồm sữa và các sản phẩm từ sữa, rau xanh và trái cây giàu vitamin C, hạt và hạnh nhân, trà xanh…
Hy vọng bài viết của tôi đã cung cấp cho bạn những thông tin hữu ích về tác hại của tụt nướu răng và những thực phẩm tốt cho sức khỏe nướu răng. Nếu bạn có bất kỳ câu hỏi hay ý kiến nào, xin vui lòng liên hệ với chúng tôi để được tư vấn!
Thông tin liên hệ
Địa chỉ: 306 Bến Bình Đông, Phường 15, Quận 8, Thành phố Hồ Chí Minh
Email: nkbinhdong@gmail.com
Website: Nhakhoaeureka.com
Điện thoại: 0795 131 368 – 028 3951 7006
