Tụt nướu răng là một tình trạng phổ biến, có thể gây ra nhiều phiền toái cho người bệnh như đau nhức, sưng viêm, mất thẩm mỹ và nguy cơ nhiễm trùng. Vậy làm thế nào để chăm sóc răng miệng khi bị tụt nướu răng? Bài viết này sẽ cung cấp cho bạn những thông tin và lời khuyên hữu ích.
Contents
1. Nguyên nhân gây ra tụt nướu răng
Tụt nướu răng là tình trạng nướu răng bị lùi xuống, để lộ phần gốc của răng. Nguyên nhân gây ra tụt nướu răng có thể là do:
- Chải răng quá mạnh, quá nhanh hoặc sử dụng bàn chải có lông cứng.
- Nhiễm trùng nha chu, viêm nướu hoặc viêm quanh răng.
- Hút thuốc lá, nhai thuốc lá hoặc sử dụng các chất kích thích khác.
- Mắc các bệnh lý hệ miễn dịch, tiểu đường hoặc loãng xương.
- Tuổi tác, di truyền hoặc thói quen nhai một bên.

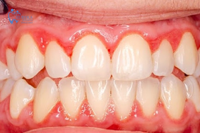
2. Triệu chứng của tụt nướu răng
Tụt nướu răng có thể gây ra các triệu chứng sau:
- Răng dài hơn bình thường, có thể thấy được phần gốc của răng.
- Răng bị lung lay, lỏng lẻo hoặc dịch chuyển vị trí.
- Nướu răng bị sưng đỏ, chảy máu hoặc mủ.
- Đau nhức, nhức răng hoặc nhức nướu khi ăn uống, nói chuyện hoặc tiếp xúc với không khí.
- Hôi miệng, khó chịu hoặc mất tự tin khi giao tiếp.
>> Xem thêm: Hiện tượng tụt nướu răng: Nguyên nhân, và cách phòng ngừa
3. Cách chăm sóc răng miệng khi bị tụt nướu răng
Khi bị tụt nướu răng, bạn cần chăm sóc răng miệng đúng cách để ngăn ngừa các biến chứng và hỗ trợ quá trình phục hồi. Dưới đây là một số cách chăm sóc răng miệng khi bị tụt nướu răng:
- Chải răng nhẹ nhàng, kỹ lưỡng và đều đặn ít nhất hai lần mỗi ngày, sáng và tối. Sử dụng bàn chải có lông mềm và kem đánh răng có fluoride.
- Sử dụng chỉ nha khoa để làm sạch kẽ răng và loại bỏ các mảnh thức ăn bám trên gốc răng.
- Súc miệng bằng dung dịch muối ấm hoặc dung dịch kháng khuẩn theo chỉ định của bác sĩ để giảm viêm và ngăn nhiễm trùng.
- Tránh hút thuốc lá, nhai thuốc lá hoặc sử dụng các chất kích thích khác, vì chúng có thể gây kích ứng nướu răng và làm chậm quá trình lành vết thương.
- Ăn uống đủ chất, cân bằng và đa dạng, tập trung vào các thực phẩm giàu canxi, vitamin C và vitamin D để tăng cường sức khỏe răng miệng.
- Hạn chế ăn các thực phẩm cứng, sần sùi, cay nóng, chua hoặc ngọt, vì chúng có thể gây tổn thương nướu răng hoặc kích thích các thần kinh răng.
- Thăm khám nha khoa định kỳ, ít nhất 6 tháng một lần, để kiểm tra tình trạng răng miệng và nhận được sự can thiệp kịp thời nếu cần.

4. Các phương pháp điều trị tụt nướu răng
Tuỳ thuộc vào nguyên nhân và mức độ của tụt nướu răng, bác sĩ nha khoa có thể áp dụng các phương pháp điều trị khác nhau, bao gồm:
- Làm sạch răng và nướu: Đây là phương pháp cơ bản để loại bỏ các mảnh vỡ, mảnh thức ăn và vi khuẩn gây viêm nướu và tụt nướu răng.
- Điều trị viêm nha chu: Đây là phương pháp để ngăn chặn sự phát triển của vi khuẩn gây viêm nha chu, một trong những nguyên nhân chính của tụt nướu răng. Phương pháp này có thể bao gồm sử dụng thuốc kháng sinh, thuốc bôi hoặc thuốc xịt.
- Cấy ghép nướu: Đây là phương pháp để bù đắp phần nướu răng bị mất bằng cách lấy mô từ vùng khác của miệng hoặc từ người hiến tạng và ghép vào vị trí tụt nướu. Phương pháp này giúp cải thiện thẩm mỹ và bảo vệ gốc răng.
- Đeo mắc cài: Đây là phương pháp để điều chỉnh vị trí của răng bị lệch lạc do tụt nướu răng. Phương pháp này giúp cân bằng lực nhai và ngăn ngừa sự tiếp tục tụt nướu.
- Trám răng hoặc đắp veneer: Đây là phương pháp để che phủ phần gốc răng bị lộ ra do tụt nướu răng. Phương pháp này giúp giảm đau nhức, ngăn sâu răng và tạo dáng răng đẹp.

5. Kết luận
Tụt nướu răng là một tình trạng không chỉ ảnh hưởng đến thẩm mỹ mà còn gây ra nhiều phiền toái cho sức khỏe răng miệng. Bạn cần chăm sóc răng miệng đúng cách khi bị tụt nướu răng để ngăn ngừa các biến chứng và hỗ trợ quá trình phục hồi. Ngoài ra, bạn cũng cần đến khám nha kho để được tư vấn và điều trị kịp thời.
Thông tin liên hệ
Địa chỉ: 306 Bến Bình Đông, Phường 15, Quận 8, Thành phố Hồ Chí Minh
Email: nkbinhdong@gmail.com
Website: Nhakhoaeureka.com
Điện thoại: 0795 131 368 – 028 3951 7006
